Espace pédagogique - Page 2

Mandibule complète et traitement implantaire pour un bridge fixe vissé

Mandibule complète et traitement implantaire pour un bridge fixe vissé

Mandibule : all-on-4

Mandibule : all-on-4

Maxillaire complet et traitement implantaire pour un bridge fixe scellé

Maxillaire complet et traitement implantaire pour un bridge fixe scellé

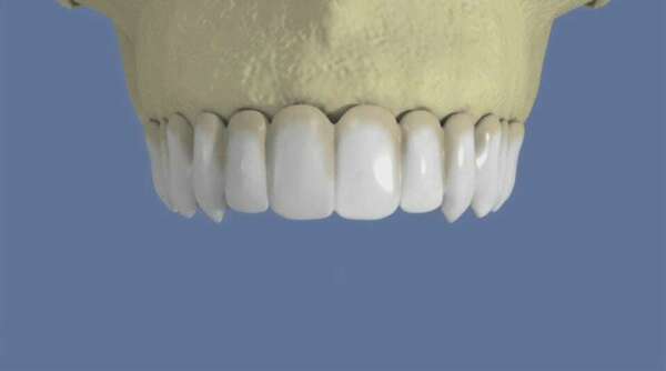
Maxillaire : bridge complet scellé sans fausse gencive

Maxillaire : bridge complet scellé sans fausse gencive

Bloc osseux ramique

Bloc osseux ramique

La dévitalisation

La dévitalisation

Mandibule complète et traitement implantaire pour un bridge fixe scellé

Mandibule complète et traitement implantaire pour un bridge fixe scellé

Maxillaire : bridge vissé sans fausse gencive

Maxillaire : bridge vissé sans fausse gencive

Stabilisation d'une prothèse par 2 boutons pressions

Stabilisation d'une prothèse par 2 boutons pressions

Le comblement de sinus par abord crestal

Le comblement de sinus par abord crestal

Bridge collé

Bridge collé

Maxillaire complet et traitement implantaire pour un bridge fixe vissé

Maxillaire complet et traitement implantaire pour un bridge fixe vissé

Affichage des articles 13-24 sur 218

Création par Webdentiste

Connexion